כשקריסטיאן עוקל, צעיר משפרעם, היה נער בן 14 הוא היה מעורב בתאונת אופניים קשה. הוא טופל, התאושש מהפציעה, וחזר לשגרת החיים במהירות. לאחרונה, שבע שנים אחרי אותו אירוע, הוא החל להרגיש כאבים לא מוסברים. בירור שעשה ברמב"ם מצא – פציעה סמויה שלא התגלתה במשך שנים, הלכה והתדרדרה עד לכדי צורך בניתוח דחוף.
תאונת אופניים קשה שבה עוקל נפצע לפני שבע שנים הסתיימה בטיפול רפואי והחלמה, או כך הוא חשב. לפני מספר שבועות הוא החל לסבול מכאבים לא מוסברים באזור הבטן, ובהמשך גם בחילות והקאות. "היינו בים ונסחפתי קצת עם הגלים. כשיצאתי מהמים התחלתי להרגיש כאבים, שהלכו והחמירו. ניגשתי למרפאה באזור המגורים שלי, כדי לברר את הסיבות לתסמינים", הוא מספר, "בדקו אותי, השאירו אותי להשגחה, קיבלתי אינפוזיה, כלום לא עזר. בהמשך הרגשתי גם דפיקות לב מוגברות, אז הלכתי לד"ר נאג'יב נסראללה, שיש לו מרפאה בשפרעם. הוא ביצע בדיקת אולטרסאונד וראה משהו לא תקין. הוא הפנה אותי באופן מיידי לרמב"ם, באמבולנס, להמשך בירור".
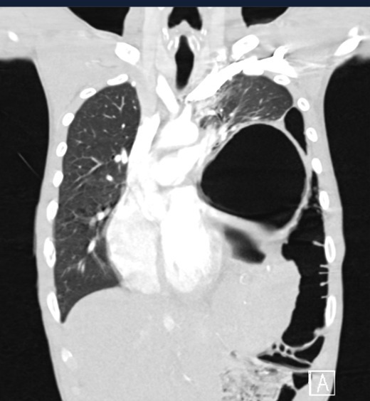
עם הגעתו של עוקל לרמב״ם בוצעה בדיקת CT דחופה, שהראתה ממצא משמעותי: "בצילומים נראה בקע סרעפתי גדול ודחיקה כמעט מלאה של הריאה השמאלית על ידי אברי הבטן שחדרו לחזה, עם חסימה של מוצא הקיבה – מה שהסביר את הכאבים וההקאות", מסביר ד"ר עמית כץ, מנהל מחלקת כירורגית חזה ברמב"ם שטיפל בעוקל, "הקרע הענק שראינו בסרעפת, נגרם למעשה כתוצאה מאותה תאונה שהמטופל היה מעורב בה כנער. כל השנים האלה, הוא הסתובב עם בקע שפוספס, הלך וגדל, עד להחמרה שהיתה כעת. זה לא מצב שכיח, אך בהחלט יכול לקרות במקרי טראומה מסוג זה. פציעות סרעפת בדרך כלל מתגלות בשלב מאוחר, משום שלא רואים אותן והן מתפתחות לאט לאט. לחץ הבטן גורם לזה שקרע קטן בסרעפת הולך וגדל עם הזמן".

בתמונה: צילום הדמיה של הפגיעה לפני הניתוח. צילום: הקריה הרפואית רמב"ם
בשל היקף הבעיה והתסמינים שעוקל הציג, הוחלט לבצע ניתוח דחוף לתיקון הבקע, אולם – זו לא היתה ההחלטה הדרמתית היחידה סביב הטיפול בו. שיטת הטיפול שנבחרה לביצוע התיקון היתה שימוש ברובוט דה וינצ'י, רובוט מנתח, וזאת למרות שלרוב השימוש ברובוט נעשה במסגרת תוכנית ניתוחים אלקטיבית ולא בפעולות דחופות כמו זו. ״התעקשתי לבצע את הניתוח בגישה רובוטית מכיוון שהבנתי שזו השיטה שתביא לתוצאות הטובות ביותר למטופל במקרה הזה", מסביר ד"ר כץ את הרציונל בבחירה הלא שגרתית, "הנהלת חדר ניתוח אישרה את השימוש ברובוט בניתוח דחוף, וכך בוצע. בניתוח עצמו זיהיתי קרע טראומתי גדול מאוד בסרעפת השמאלית, דרכו חדרו הקיבה, המעי הגס והטחול לתוך בית החזה. בעזרת הרובוט היינו מסוגלים לשחרר את כל ההידבקויות בבית החזה, להחזיר את האיברים למקומם הטבעי בבטן ולאחר מכן לתקן את הקרע של הסרעפת״, מספר ד״ר כץ, "כנראה שבלי הרובוט לא הייתה לי ברירה אלא לפתוח את הבטן ואולי גם את החזה. הדה-וינצ’י מאפשר דיוק ועדינות שמאפשרים ביצוע ניתוחים מאוד מורכבים בגישה זעיר-פולשנית. הניתוח הזה לימד אותנו הרבה על היתרונות של הרובוט גם במקרים דחופים״.

בתמונה: קריסטיאן עוקל
מהלך הניתוח, שנמשך כשלוש שעות, היה חלק ומהיר והשימוש ברובוט הוביל לצמצום הסיכון לסיבוכים ולזמן החלמה מהיר. ״כשהסבירו לי מה הבעיה, הייתי קצת בהלם. אני בריא, מתאמן, שומר על תזונה נכונה, עובד קשה ולומד. אף פעם לא הרגשתי שום בעיה, עד לאותו יום בים. מזה לניתוח, הדרך היתה מאוד מהירה ויום אחרי הניתוח הייתי כבר בבית״, מספר עוקל, ״בלי כאבים ובלי קוצר נשימה. ההתאוששות שלי מהניתוח הייתה מדהימה, ואני אסיר תודה לכל הצוות הרפואי שטיפל בי. אני כרגע במנוחה וממשיך ללמוד מהבית מחשוב רפואי במכללה. מקווה שיום אחד אחזור לרמב"ם, הפעם כחלק הצוות העובדים בבית החולים".